生命科学研究

生命科学研究

生命科学研究

在生命科学研究中心,您可以掌握最新的关于先进显微镜、成像技术、电镜样品制备和图像分析的前沿应用和创新,涵盖的主题包括细胞生物学、神经科学和癌症研究。希望在这里可以帮助您提升研究能力和精进显微镜在各个科学领域实际应用,并了解徕卡如何通过精确的可视化、图像解读和推进研究进展来赋能您的工作。
Staining is crucial to revealing details in the specimens.

使用显微镜观察和判读 H&E染色

谈到显微镜在病理学家日常工作中的用处时,我们通常会想到诊断。除了病理学实验室工作流的这一阶段,显微镜在更早期的阶段也发挥着重要作用。实验室技术员或病理学家使用显微镜检查样本染色情况。

探索分离具有重叠光谱的荧光团的创新技术

在本文中,我们探讨了几种策略,您可以采取这些策略来改善荧光团的分离,并增加您可以在样本中区分的荧光探针数量。

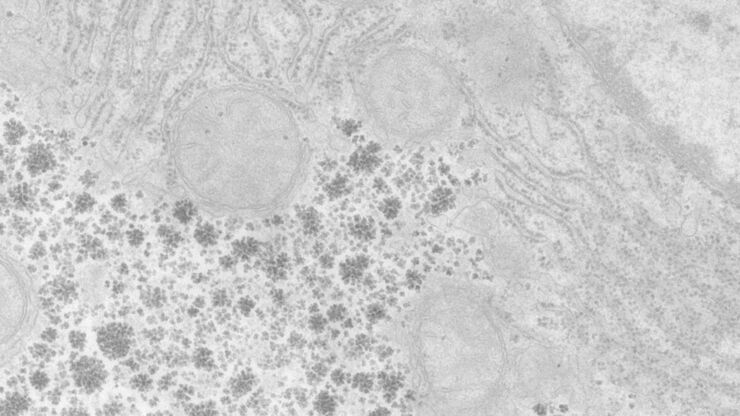
EM样本制备中对比显影的简要介绍

由于电子显微镜中的对比显影主要取决于细胞中有机分子的电子密度差,因此染色效率需取决于附着在生物结构上的染色剂的原子量。所以在电子显微镜中使用最广泛的染色剂是重金属铀和铅。尽管单独使用其中一种染色剂对于常规用途来说较为实用,但依次使用这两种染色剂(醋酸铀UA和柠檬酸铅的“双重染色”)则可以获得最高的对比度。

Perusing Alternatives for Automated Staining of TEM Thin Sections

Contrast in transmission electron microscopy (TEM) is mainly produced by electron scattering at the specimen: Structures that strongly scatter electrons are referred to as electron dense and appear as…
Scroll to top