LMD 离子发生器使用前后。

消除激光显微切割中的静电干扰

如何搭配离子发生器除静电,防止 Leica LMD7 重力收集样品损失和交叉污染

 LMD 离子发生器使用前后。 LMD_ionizer_befor_after_cut.jpg

总结

在基于重力的激光显微切割(LMD)中,静电是造成样本丢失和交叉污染的一个主要原因,但往往被忽视。在 LMD 过程中,静电会在载玻片、膜、收集装置和腔室表面积聚。这会导致两种关键的失效模式:剥离的碎片可能会粘附在带电表面,永远无法到达收集容器;或者它们可能会横向偏转,落在相邻的孔中,造成未检测到的交叉污染和错误结果。

本应用说明展示了如何在 Leica LMD7 系统的封闭环境室中集成条形电离器,从而有效中和整个环境室的静电荷。与手动防静电工具或湿度控制不同,连续电离可在实际切割条件下稳定碎片轨迹,同时保持干燥的工作流程。

定量测试表明,离子发生器的集成将静电位移事件从 16% 的切割减少到仅 0.2%(450 多次切割中仅发生 1 次)。在 384 孔板中,分离碎片的最大偏离目标行程为 6.6 毫米,足以到达邻近的孔,但这一测量结果已被消除。因此,低结合率 384 孔板的收集效率从 65-75% 提高到 85-95%,有效防止了交叉污染。

主要经验

  • 为什么静电是重力式激光显微切割中样本丢失和交叉污染的隐性根源?
  • 如何在封闭的 Leica LMD7 环境舱内集成离子发生器,消除静电位移。
  • 使用 384 孔板的高通量 LMD 工作流程可望实现哪些性能改进。

问题是数据完整性面临风险

激光显微切割(LMD)利用聚焦紫外激光从组织切片中分离出特定的感兴趣区域或细胞群。在基于重力的Leica LMD7 等系统中,切出碎片会落入下方的收集孔中。精确的分子分析取决于样本能否到达预定区域。

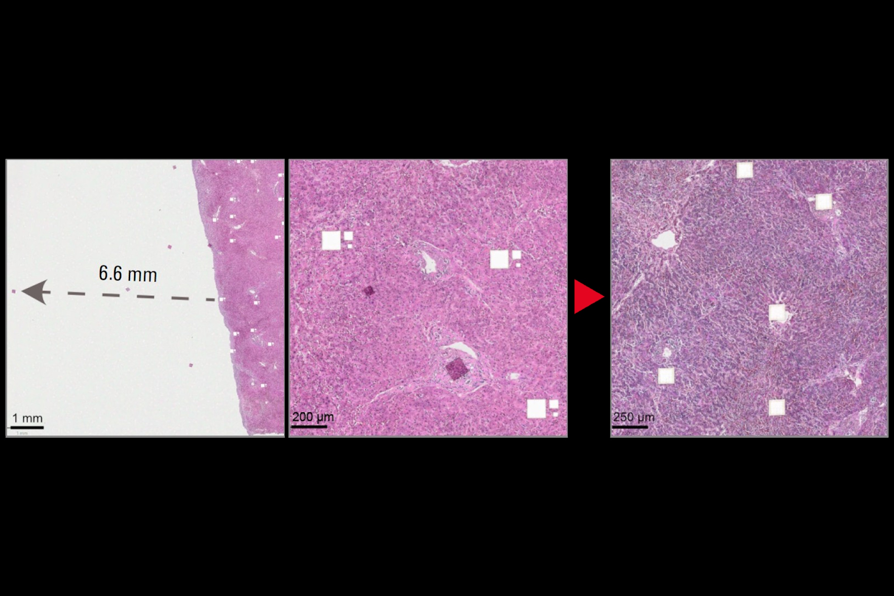
静电荷会在载玻片、薄膜、收集装置和腔壁上积累。这会导致两种不同的问题。首先,碎片会粘附在载玻片或框架上,永远无法到达采集孔,从而导致样本丢失。其次,碎片会横向飞入相邻的孔,导致交叉污染和错误发现。我们测量到的碎片偏离目标的距离达 6.6 毫米,足以到达 384 孔板中的相邻孔。交叉污染尤其危险:与丢失样本不同,受污染的孔会在毫无征兆的情况下产生错误的结果。

在没有干预的情况下,16% 的切割有静电问题(在我们的验证中,每 100 次切割中有 16 次出现静电问题):一些样品丢失,另一些样品移到了错误的孔中。
目前的解决方案的问题。手动防静电喷枪可提供瞬间缓解。湿度控制与要求干燥条件的实验环境相冲突,导致精确性下降。研究人员必须在降低效率和对每次切割进行镜下检查之间做出选择。

解决方案集成离子发生器

我们在 LMD 环境舱内安装了一个集成的接地的条形离子发生器。关键的设计:在腔室关闭的情况下运行。离子在整个封闭空间内平衡,中和所有表面(包括塑料腔壁)上的电荷。结果:在 450 多次切割中只发生了一次静电事件(0.2%),有效消除了粘附造成的样品损失和横向位移造成的交叉污染。

安装

将离子发生器安装在环境室上,与水平面成 45°,距离样品台 100-200 毫米。使用电缆扎带或非导电紧固件。确保离子发生器和样品台之间有清晰的距离,以保证有效的离子输送。
在此距离范围内,将频率设置为 22-68 Hz。切割前,在腔室关闭的情况下进行 30-60 分钟的预平衡。在此期间,离子会充满封闭的空间,并中和所有表面。无需压缩空气。

结果

衡量标准不带离子发生器带离子发生器
进行的切割100450+
静电位移事件16 个事件(16)1 个事件(0.2)
最大样品位移6.6毫米
收集成功率65-75%85-95%
交叉污染风险现在有效消除

表1:集成和未集成离子发生器的性能比较

离子发生器消除了不稳定的碎片情况。样品从膜上干净地释放出来,直接落入目标孔中(图 1)。这起事件发生在测试初期,随后对平衡时间进行了改进,防止了事件的再次发生。重要的是,这种改进在测试的所有三种尺寸(112 × 112 微米、56 × 56 微米和 28 × 28 微米)中都是一致的,这表明离子发生器是有效的,与片段尺寸无关(图 1A、B)。

由于激光切割不彻底、薄膜粘连或孔洞效应,采集成功率(85-95%)仍低于 100%。这些损耗与静电电荷无关。离子发生器可消除静电损失--既包括粘在带电表面上的样品,也包括偏移到错误孔中的样品。

A) H&E 染色的肝脏切片 1 在 LMD 中切割,未使用离子棒。切割了三种不同尺寸:112 × 112 微米、56 × 56 微米或 28 × 28 微米。插图突出显示了玻片上静电位移的方块。比例尺:2毫米插图 1 比例尺:1 毫米;插图 2 比例尺:200 µm。

B) H&E 染色的肝脏切片 2 在 LMD 使用离子发生器时切割。切割 304 块尺寸为 112 × 112 微米 。如图显示没有静电位移。比例尺:2毫米插图 1 比例尺:250 微米;插图 2 比例尺:200 µm。

C) 和 D) 不同电离条件下静电位移的数量。

结论

条形离子发生器采用集成接地技术、闭环离子电流控制和脉冲交流电发生技术,在封闭的环境室中运行,可将静电事件从 16% 降低到 0.2%。这样就消除了两种失效模式:样品不再粘附在带电表面,样品也不再飞入相邻的孔中。

这种方法只需对设备进行最小程度的改动,并在初始平衡后集成到标准工作流程中。因此,即使是最小的组织样本,条形电离器也能进行可靠的采集,确保每个孔中只含有预期的材料。

下载应用说明

Scroll to top