空间生物学指南

使用 Cell DIVE 对胰腺导管腺癌进行成像。分析由 Aivia 完成。 Pancreatic_Ductal_Adenocarcinoma_Cell_DIVE_with_analysis_by_Aivia.jpg

测序、质谱分析、多组学方法、成像技术和人工智能分析技术的进步大大提高了从生物样本(尤其是人体组织)中获取信息的深度。这些相互关联的工具及其提供的不同见解,催生了一个快速发展的领域,即空间生物学。通过整合这些先进技术所提供的背景,空间生物学正在改变生物研究。

但什么是空间生物学,研究人员如何利用空间生物学工具来满足后组学时代日益增长的生物学问题需求?这篇综述文章简要介绍了空间生物学及其技术,以及这一发展中领域的关键研究问题。

什么是空间生物学?

简单地说,空间生物学就是研究分子、细胞和组织的组织和相互作用,以及它们之间在二维或三维空间里的关系。通过空间生物学,研究人员可以探索原生组织微环境中的相互作用,揭示其细胞表型多样性和空间结构。

下载免费电子书

空间生物学概述文章

如何生成空间生物学数据?

空间生物学数据是利用不同的技术方法生成的,或者往往是这些方法的组合,其中最突出的方法包括

  • 基于图像的方法,如利用抗体多标或 RNAScope 等技术进行转录组学和蛋白质组学研究
  • 工作流程结合了质谱、质谱或测序技术,并与激光显微切割等补充方法相联系,后者可分离出区域,甚至是单细胞,用于下游的多组学分析,同时保留空间位置关系。

基于人工智能的空间关系量化分析是所有这些方法的补充,也是从复杂数据集中获得有意义的见解所必需的。

空间转录组学/基因组学

利用显微镜、RNA 测序、原位杂交和其他自动计数和剖析方法,研究具有空间背景的转录组或基因表达。为了提高灵敏度,在显微切割切割技术之后进行下游分析,可将 RNA 测序读数分配到特定的物理位置。

空间蛋白质组学

使用基于抗体的多重成像或质谱方法来了解蛋白质的定位及其动态,这些技术之间的主要区别在于所需的灵敏度。成像技术正越来越多地与下游质谱分析相结合,利用显微切割组织区域,将分析数据与参考图像重新对齐,以提供空间背景关系。

空间代谢组学

利用精确的测量标准,提供非蛋白质代谢物的定量空间信息,如脂质(脂质组学)、糖类(糖组学)和药物分子,以深入了解人体组织化学

空间多组学怎么样?

空间多组学是一个新兴领域,它结合了多种组学技术,可提供更多的背景信息和更深入的见解。例如,将蛋白质组学和转录组学数据与对组织切片内定位的深入了解相结合。

激光显微切割系统- 为下游蛋白质组学、基因组学和转录组学分析保留空间背景。

激光显微切割在空间生物学研究中的应用

Jul 19, 2023
概述

空间生物学:理解全景

空间生物学在组织研究中的重要性

异质组织,如肿瘤微环境(TME),是具有不同表型变化的细胞的复杂组合。因此,研究肿瘤、基质和免疫细胞之间的组织和相互作用需要一种空间多重成像研究方法,为此需要高灵敏度和高特异性的抗体。与传统显微镜相比,多重成像技术可以观察到更多的生物标记物,因此可以从人体组织样本中提取更多信息。

生物标记的多重成像

通过同时观察多种生物标记物,可以识别和分析复杂的组织和细胞表型。基于抗体的多重成像技术使研究人员能够研究蛋白质表达的时间和地点,并根据细胞类型、生物标记物表达谱和特定特征(称为空间表型)绘制正常组织和病变组织的图谱。对细胞进行空间绘图和背景剖析,可加深对组织结构和疾病进展的了解,这对生物标记物的发现至关重要。

Cell DIVE 多重标记成像解决方案- Cell DIVE 是一种精确、开放的多标染色的解决方案,可让您的研究决定所需的自动化程度、使用哪种抗体、如何构建抗体面板等。

多重成像有哪些不同类型?

在基于显微镜的方法中,"复杂性"(即样品中分析的分析物的数量)存在差异。十色以下的染色方法分析的生物标记物较少,而超多标方法则可分析数百或数千个生物标记物。研究人员可以选择基于较低复合成像的技术,如传统的光学显微镜,对组织样本进行更高分辨率的成像。当样品具有复杂的三维结构(如球体或厚组织)时,这一点至关重要。

目前已有许多不同的多标成像方法,每种方法都采用不同的方法来实现更高的染色。主要类别有

  1. 单步染色和成像 ,单轮染色(一次通过),可用于数量有限的靶标。
  2. 集成多组学工作流程 和迭代染色,可对组织样本中的蛋白质分布和相互作用进行详细分析。

空间生物学研究中的多重成像技术

切分目标区域,进行重点空间生物学分析

组织样本的特定区域,甚至是单个细胞,通常都需要分离出来,以便进行高灵敏度的下游分析,如基于组学方法的分析,或在不受周围细胞污染的情况下对特定切片进行进一步研究。例如,在癌症生物学中,肿瘤和非肿瘤区域之间以及肿瘤本身内部都存在明显的分子差异。只有通过分离这些区域的特定部分,才能解读这些差异。激光显微切割(LMD),又称激光捕获显微切割(LCM),越来越多地用于空间生物学,从各种样本中分离和解剖单个目标细胞或整个组织区域。这可以与人工智能(AI)指导的方法相结合,自动定义需要解剖的感兴趣区(ROI)。

激光显微切割简介- 精确定位或分离单个细胞和组织结构

人工智能在空间生物学中的应用

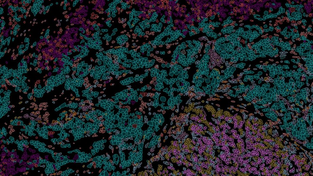
空间生物学技术可以生成大量数据,通常以图像的形式出现,其中蕴含着许多研究问题的答案。然而,这些数据的庞大数量和复杂性给分析工作带来了挑战。此外,在分析多个标签和成千上万个数据点时,克服分析的主观性可能是一个重大障碍。这些因素正在助长使用人工智能驱动的多重染色图像分析的趋势,以从空间数据中获得有意义的、可量化的见解。例如,对异质组织样本进行人工智能驱动的机器学习分析,可以揭示独特的、以前未识别的细胞表型及其在组织微环境中的分布。这些见解能让科学家更好地划分肿瘤类型,更准确地预测对治疗的反应,最终改善患者的预后。

空间生物学研究中的人工智能分析

结论

空间生物学包括各种工具、方法和分析,这些工具、方法和分析结合了不同的技术,如组学技术和基于成像的方法获取位置信息,增强我们对组织结构和空间相互作用的了解。随着这些技术的进步,研究人员可以解决的问题范围也将变得更加复杂。癌症生物学、神经科学和发育生物学等复杂领域有望从这些突破中获得重大影响。采用空间生物学思维方式将促进这些方法的整合,并激励研究人员在其实验系统中探索新方法。

在线学习资源

深度学习相关知识空间生物学 I

探索利用荧光多重标记和空间组学技术的新方法,以检查不同组织中细胞的行为和特性,并确定蛋白质含量的局部变化。
按需查看

深度学习相关知识空间生物学 II

研究单细胞在环境中的空间分布图,重点是组织微环境,以及分析空间单细胞 RNA 和蛋白质表达变化的技术。

按需查看

深度学习相关知识空间蛋白质组学

了解如何利用先进的显微镜技术加深对蛋白质亚细胞定位的了解,从而对代谢紊乱和癌症等疾病有新的认识。
按需查看

深度学习相关知识空间蛋白质组学 II

了解如何使用共聚焦显微镜进行 10 色图像采集,以应对在健康和病理样本中识别皮肤免疫细胞的挑战。

按需查看

Scroll to top