Single cells collected via laser microdissection as part of the Deep Visual Proteomics workflow.

人工智能与深度视觉蛋白质组学 (DVP) 相结合,推进疾病研究

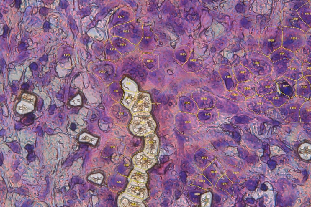
通过高分辨率组织分析和分子分型绘制细胞层面疾病进展的空间图谱

Single cells collected via laser microdissection as part of the Deep Visual Proteomics workflow. DVP_workflow_single_cells_collected_via_laser_microdissection.jpg

在这次网络研讨会上,Andreas Mund 博士将介绍深度可视蛋白质组学(DVP)--一种将人工智能驱动的组织空间分辨、非靶向蛋白质组学相结合的尖端平台。他展示了 DVP 如何从最小的、表型匹配的细胞群中识别数千种蛋白质,并在复杂的临床组织样本中生成高分辨率分子图谱,从而在细胞水平上解码疾病机制。

您将从这次网络研讨会中学到什么?

  • 如何利用人工智能驱动的病理模型分析复杂的组织结构,以识别和分割细胞区域
  • 如何使用 DVP 生成空间分辨蛋白质组图谱
  • 如何识别标志着组织从健康状态向疾病状态过渡的分子特征和信号通路
  • 如何评估人工智能集成空间蛋白质组学在发现早期生物标记物和治疗靶点方面的潜力

疾病进展的早期检测和分子分型仍然是现代医学面临的主要挑战。尽管基因组学和转录组学取得了进展,但组织病变的空间蛋白质组图谱在很大程度上仍未得到探索。这种方法为了解疾病进展的分子状况提供了前所未有的洞察力,为发现新型生物标记物和治疗靶点提供了支持。

其中一个亮点是应用于中毒性表皮坏死(TEN)的分子机制,这是一种危及生命的皮肤反应。DVP 发现 STAT1 是关键的驱动因素,因此成功使用了 JAK 抑制剂--8 名患者中有 8 人痊愈 [1]

另一个例子是低级别浆液性卵巢癌。通过将 DVP 与空间转录组学相结合,确定了两个靶蛋白(FOLR1 和 CDK2A),目前已有针对这两个蛋白的临床批准抗体。小鼠模型显示肿瘤负担明显减轻。

最后,Mund 博士展示了 DVP 在胰腺癌研究中的应用。人工智能引导的图像分析确定了早期前体病变,然后对其进行了蛋白质组学鉴定。这为早期检测和靶向治疗的开发提供了新的可能性。

本网络研讨会是旨在推进早期疾病检测、解码细胞机制以及利用人工智能驱动的空间蛋白质组学在病理学和个性化医疗方面获得突破性见解的研究人员的必看内容。

Scroll to top