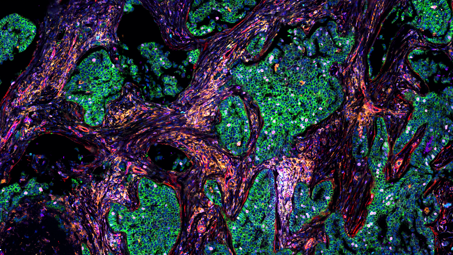
三维超多标成像在癌症免疫学中的应用小鼠模型胰腺肿瘤切片的细节,使用 STELLARIS SpectraPlex 一次性标记 15 个标记物并成像。成像总体积 3.2 毫米 x 2.2 毫米 x 70 毫米,耗时 1 小时 20 分钟。资料来源肿瘤免疫学中的3D多标成像。Kunz L.,Speziale D. 等人,Nat.Methods(2024)。

高级组织成像& 分析

为了深入了解生物过程和疾病机制,科学家从多个层面对组织进行检查,以了解细胞和细胞外成分是如何相互作用的。先进的成像和分析解决方案可对组织进行详细的可视化和综合分析,有助于推动空间生物学研究。

请联系我们!

我们的成像专家将为您提供有关高级组织成像和分析解决方案的建议。

使用 TauSTED Xtend 采集的图像。3 色 STED 样品。青色:波形蛋白,AF594品红色磷脂样蛋白-肌动蛋白,Atto 647N。发光:NUP 107,CF680R。样本提供方:Mariano Gonzales Pisfil 博士和 Steffen Dietzel 博士,德国慕尼黑路德维希-马克西米利安大学生物医学中心生物成像核心设施。

适用于各种应用的多功能性

为了获取二维和三维组织数据,我们的成像解决方案包括用于观察大块组织切片的宽场成像,以及用于揭示非常精细的组织结构的超分辨率共焦成像。这种多功能性确保了科学家们拥有正确的工具来有效研究组织结构和功能。

先进的多重成像和表型分析

在空间生物学多路复用和表型分析方面,科学家可以使用我们的多路复用解决方案分析组织样本中的多种生物标记物。它们包括一个样本中 60 多种生物标记物的自动迭代染色,这对于研究复杂的生物过程和相互作用至关重要。

全面的组织扫描解决方案

利用我们的多功能仪器,包括用于薄片和容积扫描的仪器,支持广泛的组织分析应用。这种灵活性可确保应用最佳解决方案来有效研究组织结构和功能。

使用徕卡显微镜解决方案进行组织成像& 分析有哪些优势?


为什么要研究组织结构和功能?

科学家跨尺度研究组织结构和功能,以更好地了解组织、细胞和分子之间的关系。徕卡成像解决方案和样品制备技术可用于根据表型对细胞进行分化,并将这些见解转化为对健康和疾病的影响。


什么方法最适合研究组织功能?

科学家们必须对组织内的生物过程进行可视化分析,才能更好地了解组织的功能和对各种刺激的反应。徕卡功能成像和空间表型工具使他们更容易实现这一目标。


如何快速获得可重复的结果?

可靠、可重复的结果来自标准化的工作流程和自动成像,并与我们的人工智能分析软件 Aivia 相结合,从而加快数据处理、减少错误并确保一致、高质量的见解。

有关高级组织成像和分析的常见问题

Show answer 为什么要在药物发现和开发过程中利用活死细胞检测?

患者安全是重中之重。因此,有关致死剂量的知识非常宝贵,监管机构在考虑进行临床试验之前必须了解这些知识。可以利用活死细胞检测来确定剂量。Mica 是高效获取大量数量数据的最佳解决方案。

Show answer 如何利用激光显微切割技术改进生物制药研究?

通过提供精确的组织分离,实现高质量的基因组和蛋白质组分析。激光显微切割技术可帮助生物制药研究人员瞄准特定的细胞或组织区域,从而在药物开发过程中进行更精确、无污染的研究。

Show answer 为什么要将显微镜用于有关药物发现和开发的生物制药研究?

显微镜有助于获得细胞对化合物和候选药物反应的详细图像。在药物发现阶段,即质量控制和深入分析活细胞培养模型和组织的反应途径阶段,有一系列徕卡产品可满足不同的发现和开发需求。

相关文章

阅读我们关于高级组织成像与分析的最新文章

徕卡显微系统的知识门户网站提供有关显微镜学的科学研究资料和教学材料。网站内容专门面向初学者、经验丰富的从业者和科学家,为他们的日常工作和实验提供支持。

更多文章

History, Developments and Trends of Microscopy in Cancer Research

Cancer is a global disease, with 18 million new cases diagnosed and 10 million cancer-related deaths worldwide in 2020. This burden is set to increase, with a projected increase in cases of ~55% by…

Researchers Insights: Microscopy in Cancer Research

Discover how imaging techniques are driving cancer research forward. In this issue, we present comprehensive multimodal studies using microscopy, as well as new directions in intraoperative cancer…
Final Segmentation of organelles in Trichomonas species. Magenta – costa, light blue – hydrogenosomes, turquoise – ER, red – vacuoles, yellow – axostyle, green – Golgi apparatus.  Sample courtesy of Isabelle Guerin-Bonne, Low Kay En, Electron Microscopy Unit, Yong Loo Lin School of Medicine, National University of Singapore. Scale bar: 1 µm.

体电子显微学与人工智能图像分析

该文章详细阐述了利用体电子显微镜技术 (volume-SEM) 结合人工智能辅助图像分析,对生物组织进行三维研究的工作流程。研究的重点是一种名为毛滴虫的原生动物,这是一种有鞭毛的寄生虫,是导致性传播感染——滴虫病的病原体。为了可视化其复杂的内部结构,研究人员采用了体电子显微镜技术,通过对一系列超薄切片进行成像来重建三维模型。
Pancreatic Ductal Adenocarcinoma imaged with Cell DIVE. Analysis done by Aivia.

空间生物学指南

什么是空间生物学?在后组学时代,研究人员如何利用空间生物学工具来满足生物学问题日益增长的需求?本文简要概述了空间生物学及其技术,以及这一快速发展中的领域的关键研究问题。
Masson-Goldner staining of a hedgehog brain slice.

如何优化您的组织学工作流程

简化您的组织学工作流程。独特的 Fluosync 检测方法内置于Mica中,可实现单次高分辨率 RGB 彩色成像。
Spectral separation of 11 fluorophores coupled to polystyrene beads on a STELLARIS confocal system.

通过 11 种颜色的光谱分离实现超多标记

荧光显微镜是生命科学研究的基本工具,随着细胞组织和模式生物多色标记策略的发展而不断发展和成熟。分子特异性标记多种物种的能力需要适当的工具来识别样品中的多种荧光标签。严格分离多个标签对于获得有意义的成分、丰度、结构和功能读数至关重要。这种所谓的超多标技术在揭示组织组织、癌症进展、肿瘤免疫相互作用和传染病机制等关键方面已变得十分突出。
3D Reconstruction of brain slide image_Mica

3D组织成像:快速预览到高分辨率成像的一键切换

3D组织成像广泛应用于生命科学领域。研究人员利用它来揭示组织组成和完整性的详细信息,或从实验操作中得出结论,或比较健康与不健康的样本。本文介绍了MICA如何帮助研究人员进行3D组织成像。

组织图片库

对动物和人体组织进行视觉分析对于了解癌症或神经变性等复杂疾病至关重要。从基本的免疫组化到体内成像,共聚焦显微镜和先进的模式可以让人们了解细胞、生物分子及其在环境中的相互作用。
14: 7-day old 3D cell culture of MDCK cells stably transfected with; Mx1-GFP (green), SPY555-Actin (yellow) and WGA-AlexaTM 647 (magenta), and imaged using a THUNDER Imager Cell Spinning Disk. Shown are both the spinning disk image (left) and the same image after THUNDER Computational Clearing was applied (right); scale bar 50 μm.

类器官和 3D 细胞培养

生命科学研究中最令人振奋的最新进展之一是 3D 细胞培养系统的发展,例如类器官、球状体或器官芯片模型。 3D 细胞培养物是一种人工环境,在这种环境中,细胞能够在三维空间中生长并与周围环境相互作用。 这些环境条件与它们在体内的情况相似。

了解详情

Image of C2C12 cells: The cells are stained with lamin B (magenta) which indicates nuclear structure, Hoechst (blue) indicating DNA, and γH2AX (yellow) indicating damage to DNA. Cells were imaged using a THUNDER Imager 3D Live Cell with a 63X/1.4 oil immersion objective.

细胞生物学研究

 细胞生物学成像是运用一系列的光学显微镜和电子显微镜完成的。 徕卡显微系统公司推出的成像解决方案专为扩展您的细胞生物学研究而设计。

了解详情

Mammalian cells expressing H2B-mCherry and alphaTubulin-mEGFP to visualize DNA and microtubules respectively. Left: Widefield imaging using THUNDER Imager. Right: Sample after correlated EM imaging using Leica Microsystems Coral Life workflow. Cells were cryo-immobilized by high-pressure freezing 60 min after the onset of cytokinesis. The intercellular bridge was imaged under TEM after freeze substitution and resin infiltration.

光电关联显微技术 (CLEM)

徕卡显微系统的CLEM解决方案可确保样本活性、进行质量检查,确保三维目标定位机制精确可靠。用户可以利用这些解决方案的优势,在合适的时间立即识别合适的细胞,获得高分辨率的冷冻共聚焦数据,或将荧光信息与超微结构环境结合起来。

了解详情

细胞培养

在实验室环境下培养细胞是科学家在细胞生物学、癌症研究、发育生物学等任何类型生命科学及药物研究领域开展工作的基础。了解徕卡如何帮助您在实验室中培养动物细胞。

了解详情

14: 7-day old 3D cell culture of MDCK cells stably transfected with; Mx1-GFP (green), SPY555-Actin (yellow) and WGA-AlexaTM 647 (magenta), and imaged using a THUNDER Imager Cell Spinning Disk. Shown are both the spinning disk image (left) and the same image after THUNDER Computational Clearing was applied (right); scale bar 50 μm.
Image of C2C12 cells: The cells are stained with lamin B (magenta) which indicates nuclear structure, Hoechst (blue) indicating DNA, and γH2AX (yellow) indicating damage to DNA. Cells were imaged using a THUNDER Imager 3D Live Cell with a 63X/1.4 oil immersion objective.
Mammalian cells expressing H2B-mCherry and alphaTubulin-mEGFP to visualize DNA and microtubules respectively. Left: Widefield imaging using THUNDER Imager. Right: Sample after correlated EM imaging using Leica Microsystems Coral Life workflow. Cells were cryo-immobilized by high-pressure freezing 60 min after the onset of cytokinesis. The intercellular bridge was imaged under TEM after freeze substitution and resin infiltration.
Scroll to top